Mo - Fr 06.45 - 20.00 • Sa 06.45 - 20.00
acc-zahnklinik-zahnarztpraxis-hero-01

FÜR IHR SCHÖNSTES LÄCHELN

Ästhetische Zahnmedizin

Ein strahlendes Lächeln öffnet Türen – mit moderner ästhetischer Zahnmedizin unterstützen wir Sie dabei, Ihr natürlich schönes Zahnbild zu bewahren oder zu optimieren. Ob schonendes Zähnebleichen (Bleaching), hauchdünne Veneers für makellose Frontzähne oder dezenter Zahnschmuck als persönliches Highlight – wir bieten ästhetische Zahnbehandlungen auf höchstem Niveau, individuell abgestimmt auf Ihre Wünsche und Bedürfnisse.

ZAHNAUFHELLUNG (BLEACHING)

In-Office Bleaching – Professionelles Zähnebleichen in der Klinik


Beim In-Office Bleaching wird ein hochwirksames Bleichgel direkt in der Zahnarztpraxis aufgetragen. Die Zähne werden dabei durch spezielle Schutzmassnahmen (Schutzlack, Watterollen, Halter) geschützt.

Das Gel wird mehrfach aufgetragen und häufig durch eine UV-Lampe aktiviert, um ein besonders strahlendes Ergebnis zu erzielen.

✔ Sichtbare Ergebnisse sofort nach der Behandlung

✔ Professionell durchgeführt, sicher & effektiv

✔ Vorzugspreis: CHF 360.– (statt CHF 650.–)


👉 Kombi-Angebot mit Dentalhygiene: CHF 380.–

acc-zahnklinik_hintergrund_bunt_430x1075
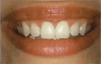
Vorher-Bild In-Office Bleaching – professionelle Zahnaufhellung für ein strahlendes Lächeln in der ACC Zahnklinik Basel

VORHER

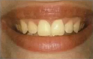
Nachher-Bild In-Office Bleaching – sichtbar aufgehellte Zähne nach professioneller Zahnaufhellung in der ACC Zahnklinik Basel

NACHHER

ZAHNAUFHELLUNG (BLEACHING)

Home Bleaching – Zähne bleichen zu Hause


Beim Home Bleaching bleicht der Patient seine Zähne selbstständig mit einem schwächer dosierten Gel. Dafür wird in der Klinik eine individuelle Bleichschiene angefertigt, die zuhause während ca. 2 Wochen täglich für mehrere Stunden getragen wird (idealerweise abends).

✔ Flexibel & bequem zuhause anwendbar

✔ Individuell angepasste Bleichschiene inklusive

✔ Kosten: CHF 250.– bis 400.– (inkl. Gel & Schiene)


Hinweis: Füllungen & Kronen verändern ihre Farbe nicht

ZAHNAUFHELLUNG (BLEACHING)

Vorbereitung: Professionelle Zahnreinigung


Vor jeder Bleaching-Behandlung ist eine gründliche Dentalhygiene-Sitzung erforderlich. Nur auf sauberen Zähnen kann das Bleichgel gleichmässig und effektiv wirken.

✔ Entfernt Beläge & oberflächliche Verfärbungen

✔ Sorgt für gleichmässiges Bleaching-Ergebnis

✔ Preis: CHF 120.– bis 200.– (je nach Aufwand)

Weissere Zähne. Strahlender Eindruck.

Professionelles Bleaching für ein natürlich helles Lächeln – sicher und schonend.

VENEERS (KERAMIKSCHALEN)

Was sind Veneers? – Perfekte Zähne durch hauchdünne Keramikschalen


Veneers sind extrem dünne, massgefertigte Keramikschalen, die dauerhaft auf die Frontzähne aufgeklebt werden. Sie dienen der ästhetischen Korrektur von Verfärbungen, kleinen Fehlstellungen, abgebrochenen Kanten oder Zahnlücken – ganz ohne aufwendige Zahnbehandlungen.

Die hochwertige Keramik ahmt den natürlichen Zahnschmelz perfekt nach und sorgt so für ein strahlendes, harmonisches Lächeln – ganz ohne künstlich zu wirken.

✔ Minimalinvasiv und schmerzfrei

✔ Natürlich schöne Optik

✔ Ideal bei ästhetischen Makeln der Frontzähne

acc-zahnklinik_hintergrund_bunt_430x1075
Veneers aus Keramik – dünne, ästhetische Verblendschalen für ein natürlich schönes Lächeln in der ACC Zahnklinik Basel

VENEERS (KERAMIKSCHALEN)

Der Ablauf – Schritt für Schritt zu Ihrem neuen Lächeln


Der Weg zu einem makellosen Lächeln mit Veneers ist präzise geplant und individuell abgestimmt:

  1. Beratung & Planung: Analyse Ihrer Wünsche und digitale Simulation des Endergebnisses.
  2. Vorbereitung der Zähne: Schonendes Anrauen der Zahnoberfläche – oft ohne Betäubung.
  3. Anfertigung im Dentallabor: Hochpräzise Herstellung Ihrer massgeschneiderten Veneers.
  4. Einsetzen & Fixierung: Die Keramikschalen werden dauerhaft und sicher verklebt.

Schon nach wenigen Tagen können Sie sich über ein ästhetisch perfektes und funktionelles Ergebnis freuen.

✔ Hightech-Zahntechnik aus dem eigenen Labor

✔ Keine langen Ausfallzeiten

✔ Langlebig bei guter Pflege – oft 10–15 Jahre

VENEERS (KERAMIKSCHALEN)

Für wen sind Veneers geeignet? – Ihre Vorteile auf einen Blick


Veneers sind die ideale Lösung für alle, die sich ein selbstbewusstes Lächeln ohne Kompromisse wünschen. Besonders geeignet bei:

Zahnverfärbungen, die nicht durch Bleaching entfernt werden können

Abgenutzten, abgebrochenen oder unregelmässigen Schneidezähnen

Leichten Zahnfehlstellungen oder Lücken

Ästhetisch störenden Füllungen im sichtbaren Bereich

✔ Individuelle Ästhetik, angepasst an Gesichtsform und Hauttyp

✔ Biokompatibel & metallfrei – auch für Allergiker geeignet

✔ Investition in Ausstrahlung, Selbstbewusstsein und Lebensqualität

Perfektes Lächeln mit dem gewissen Etwas.

Veneers aus Keramik – für makellose Zähne und natürliche Ästhetik auf höchstem Niveau.

ZAHNSCHMUCK

Zahnschmuck – Der funkelnde Akzent für Ihr Lächeln


Zahnschmuck ist eine ästhetische Möglichkeit, Ihrem Lächeln einen persönlichen und glamourösen Touch zu verleihen. Ob glitzernder Kristall, funkelnder Edelstein oder ein dezenter Schmuckstein – kleine Highlights auf den Frontzähnen unterstreichen Ihre Individualität und sorgen für ein strahlendes, auffälliges Lächeln.

Wir bringen den Zahnschmuck schonend auf – ganz ohne Bohren, Schmerzen oder bleibende Veränderungen am Zahn. Der verwendete Spezialkleber ist zahnverträglich und transparent, sodass der Schmuck sicher haftet und gleichzeitig fast unsichtbar fixiert wird.

✔ Schmerzfreie Behandlung – ohne Eingriff in die Zahnsubstanz

✔ Perfekt geeignet für gesunde Frontzähne

✔ Abnehmbar oder austauschbar ohne bleibende Spuren

acc-zahnklinik_hintergrund_bunt_430x1411

ZAHNSCHMUCK

Ihre Auswahl – Von schlicht bis glamourös


In unserer Zahnarztpraxis steht Ihnen eine sorgfältig zusammengestellte Zahnschmuck-Kollektion zur Verfügung. Sie können aber auch eigene Schmucksteine oder Kristalle mitbringen, die wir auf Wunsch fachgerecht einsetzen.

Unser Sortiment umfasst:

  • Zirkoniasteine in verschiedenen Grössen und Farben
  • Edel- und Halbedelsteine mit einzigartigem Glanz
  • Dezente Designs für den Alltag oder glamouröse Highlights für besondere Anlässe

Die Anbringung dauert in der Regel nur wenige Minuten – das Ergebnis hingegen ist sofort sichtbar und dauerhaft haltbar.


✔ Hochwertige Materialien & professionelle Verarbeitung

✔ Individuelle Beratung zur Position und Steinwahl

✔ Sicherer Halt bei optimaler Zahnpflege

Zahnschmuck – vielfältige Auswahl von schlicht bis glamourös für individuelles Lächeln in der ACC Zahnklinik Basel
Zahnschmuck – vielfältige Auswahl von schlicht bis glamourös für individuelles Lächeln in der ACC Zahnklinik Basel

ZAHNSCHMUCK

Häufige Fragen – Haltbarkeit, Pflege & Entfernung


Wie lange hält Zahnschmuck?

Je nach Pflege und individueller Zahnstruktur kann Zahnschmuck mehrere Monate bis Jahre halten. Die Haltbarkeit wird durch professionelle Zahnreinigung und gute Mundhygiene unterstützt.


Kann Zahnschmuck wieder entfernt werden?

Ja, der Schmuck kann jederzeit schonend und ohne Schäden am Zahn entfernt werden – ideal, wenn Sie den Look wechseln oder den Zahn wieder "naturbelassen" möchten.


Beeinträchtigt Zahnschmuck die Zahngesundheit?

Nein. Bei sachgemässer Anbringung durch den Zahnarzt stellt Zahnschmuck kein Risiko für die Zahngesundheit dar.

✔ Zahnschmuck – trendiger Blickfang, ganz ohne Risiko

✔ Ideal auch für Jugendliche oder als Geschenkidee

✔ Ein Lächeln, das in Erinnerung bleibt

Ein Funkeln fürs Lächeln.

Zahnschmuck als stilvolles Highlight – sicher angebracht, individuell gewählt.

So erreichen Sie uns

Ob Terminvereinbarung, Rückfragen oder allgemeine Informationen – wir sind gerne für Sie da.


RUF UNS AN

Hier unsere Telefonnummer

ONLINE ANMELDEN

Hier gelangen Sie zum

SCHREIBE UNS

Hier die Adresse für ihren Mailclient